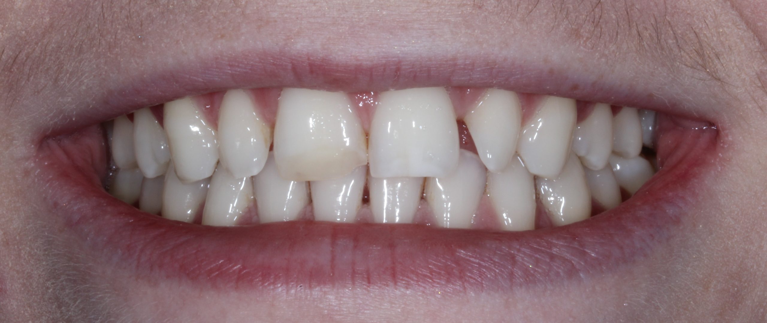
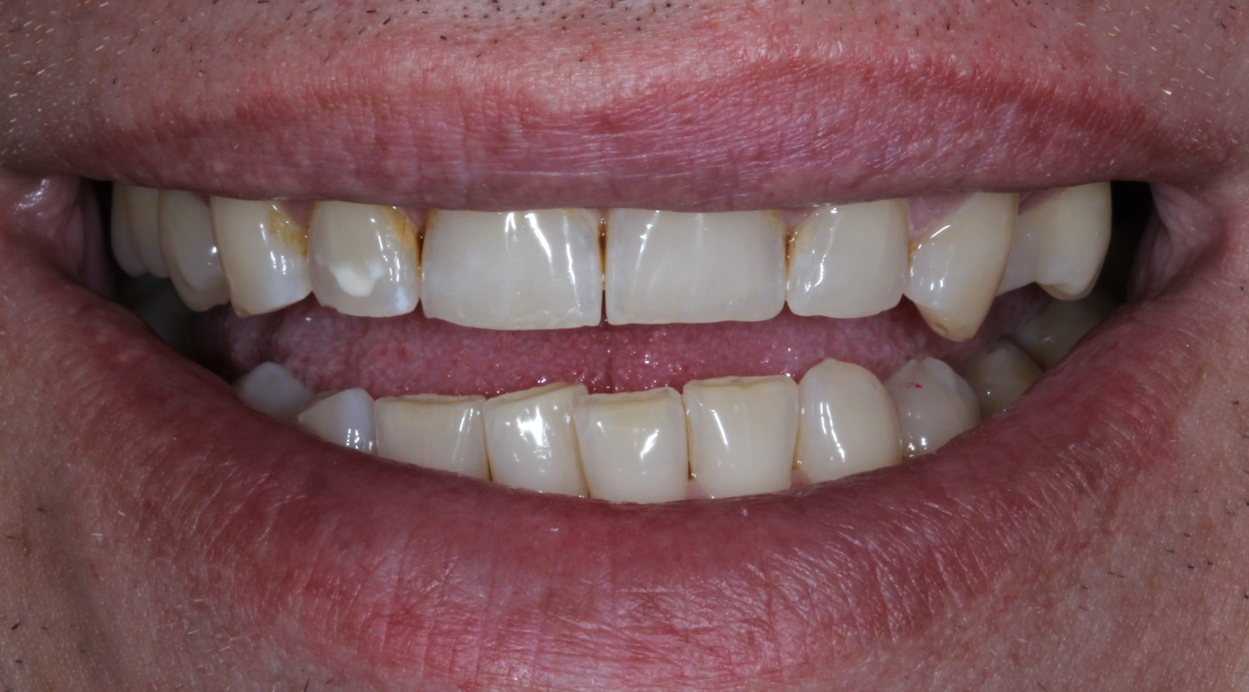
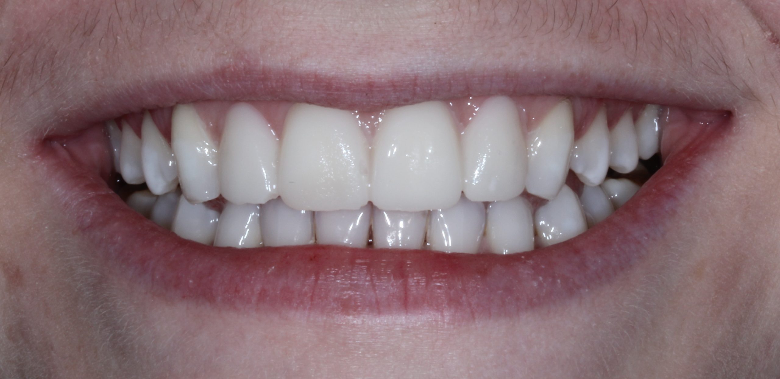
Chipped edges repaired, gaps closed, teeth recoloured, straighten slightly crowded teeth all with composite bonding.
Composite bonding is placement of tooth coloured material over the surface of teeth to improve the shape and contour of the teeth, it requires no drilling or injections and there is no removal of tooth before placement ensuring not to cause any damage of the tooth underneath.
Composite bonding is provided by Gareth Doody, our Principal Dentist, so book your consultation today.


We aim to provide dental care of consistently good quality for all patients.
| Cookie | Duration | Description |
|---|---|---|
| cookielawinfo-checkbox-analytics | 11 months | This cookie is set by GDPR Cookie Consent plugin. The cookie is used to store the user consent for the cookies in the category "Analytics". |
| cookielawinfo-checkbox-functional | 11 months | The cookie is set by GDPR cookie consent to record the user consent for the cookies in the category "Functional". |
| cookielawinfo-checkbox-necessary | 11 months | This cookie is set by GDPR Cookie Consent plugin. The cookies is used to store the user consent for the cookies in the category "Necessary". |
| cookielawinfo-checkbox-others | 11 months | This cookie is set by GDPR Cookie Consent plugin. The cookie is used to store the user consent for the cookies in the category "Other. |
| cookielawinfo-checkbox-performance | 11 months | This cookie is set by GDPR Cookie Consent plugin. The cookie is used to store the user consent for the cookies in the category "Performance". |
| viewed_cookie_policy | 11 months | The cookie is set by the GDPR Cookie Consent plugin and is used to store whether or not user has consented to the use of cookies. It does not store any personal data. |