Straight teeth
ClearCorrect®
ClearCorrect® uses nearly-invisible braces to gently straighten your teeth, and give you that smile you’ve always dreamed of.
We all want a perfect smile, but all too often, the word ‘braces’ can conjure up images of old-fashioned ‘train-tracks’ or Ugly Betty!
You will be pleasantly surprised with ClearCorrect®. Our braces look beautiful and discreet with top quality tooth-coloured brackets and wires, making your them virtually invisible. Most people won’t know you are wearing braces at all and treatments can take as little as 6 months to complete.
With an option to suit everyone, ClearCorrect® can boost your confidence, raise your self-esteem, and give you a winning smile. ClearCorrect® is one of the most widely used orthodontic systems in the world.
Teeth Alignment with ClearCorrect®
- ClearCorrect®, the clear choice for a better smile ‘Smile and the whole World smiles with you’
- Whether in your working life or when you are out with friends, a great smile boosts confidence, makes you feel happier and creates a good first impression.
- ClearCorrect® can give you the smile you want, without the use of ugly metal train track braces.
- ClearCorrect® is virtually invisible, requires no long visits to the orthodontist and is easy to use.
Speak to your dentist today to see if ClearCorrect® can give you the smile you desire.
Your treatment with ClearCorrect®
ClearCorrect® treatment starts with a visit to your dentist who will examine your teeth and take 3D digital scans. The 3D image of your teeth is assessed and a treatment plan made specific to you. Your dentist will discuss each stage of treatment with ClearCorrect® technicians before a series of aligners are tailor made just for you. Each aligner is minutely different, moving your teeth in gradual stages to their new position.
The ClearCorrect® team uses the most innovative software and 3D scanning equipment to plan your treatment. The biting surfaces of your teeth and the shape of them are assessed to determine how they fit together now and how they will fit together when your treatment is complete.

How Does ClearCorrect® Work?
- ClearCorrect® treatment is completed with a series of virtually invisible, removable aligners.
- The aligners are changed every 2 to 4 weeks for the next stage.
- The process can take as little as 10 weeks depending on the alterations required.
- Each aligner is carefully designed for your teeth and will move them in very small increments little by little, week by week.
- You will wear the clear aligners until they have moved your teeth to the final position prescribed by your dentist.
- Treatment can be really quick; dependent on your case and how far your teeth need to move, 3‐12 months is a realistic time.
ClearCorrect® Benefits
- ClearCorrect® can predict exactly how your smile will look
- No unsightly metal brackets and wires
- Increase self confidence
- Tailor made for maximum comfort
- Each stage is precisely planned
- Stable, reliable, aesthetic results you can rely on
- Cost effective solution for people of most ages

How do teeth straightening with clear braces compare to metal and fixed braces?
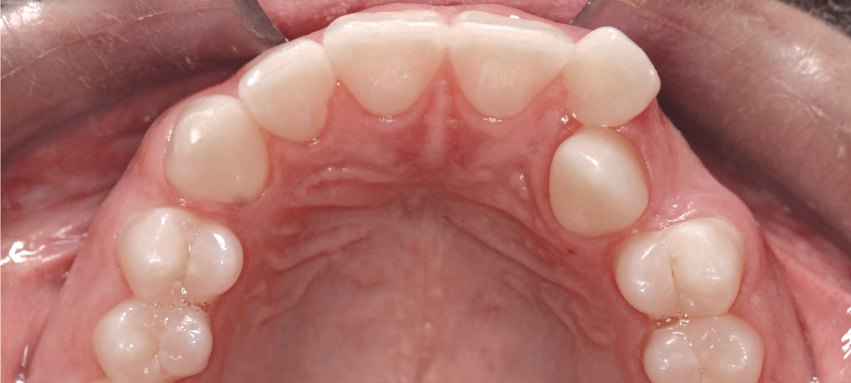
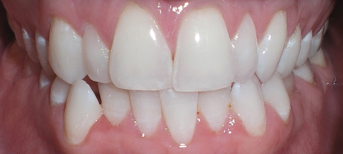
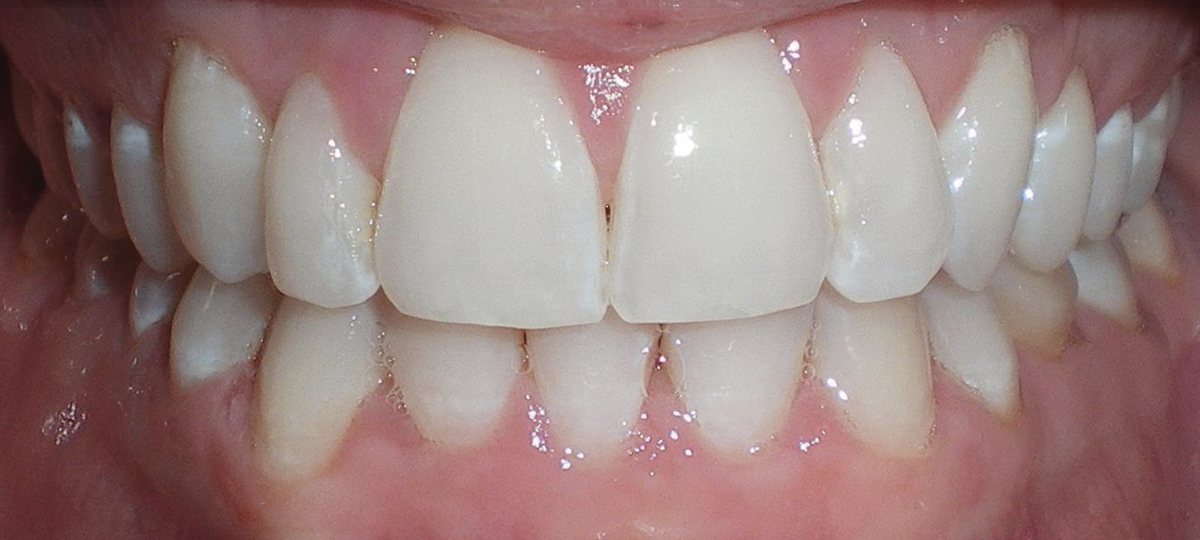
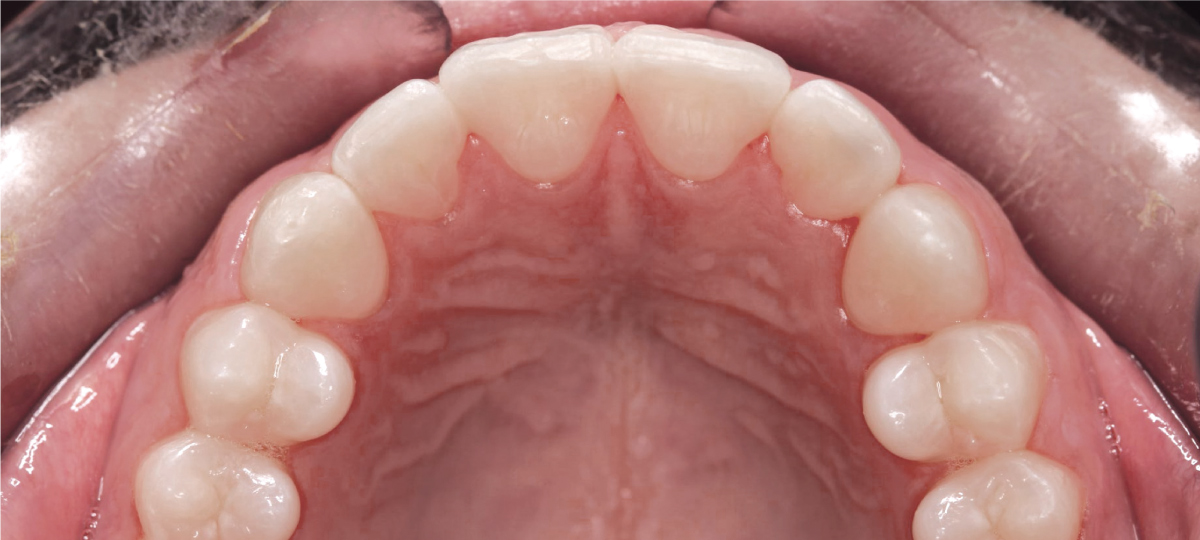
"I was becoming very conscious of my uneven teeth. Gareth told me about ClearCorrect® and explained how my teeth could be realigned by wearing "see through aligners". I had a series of aligners, wearing each for three weeks. No one knew I was wearing them unless I told them and they were very comfortable (after the initial 2-3 days after change over). I am delighted with my new smile and wish I had done it earlier - fantastic results."
ClearCorrect® patient
We are committed to working to best practice
We aim to provide dental care of consistently good quality for all patients.